

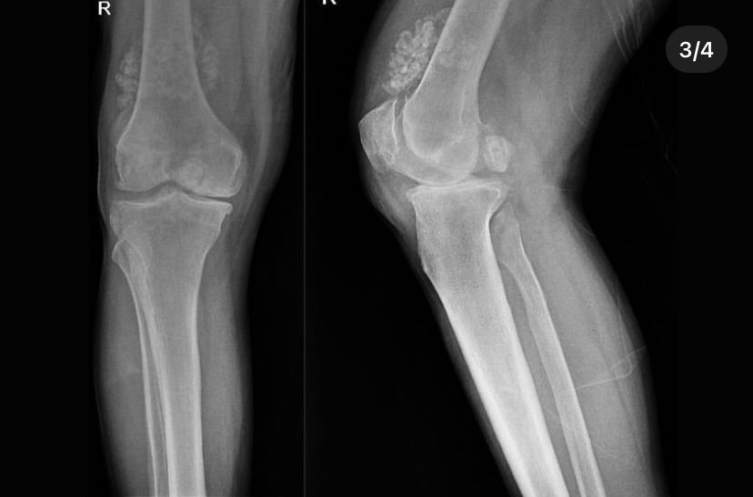
Düzce'de bir hastanın dizinden ameliyatla 41 "eklem faresi" (kıkırdak veya kemik yapısının bozulması sonucu kopan parça) alındı.
Düzce Üniversitesinden (DÜ) yapılan açıklamaya göre, diz ağrısı şikayetiyle hastaneye başvuran hastaya, ortopedi ve travmatoloji kliniğinde müdahale edildi.
Tetkiklerde, hastanın özellikle diz eklemi çevresinde halk dilinde "eklem faresi" olarak bilinen 41 "multipl sinovial kondromatozisi" tespit edildi.

DÜ Tıp Fakültesi Hastanesinde endoskopik yöntemle gerçekleştirilen ameliyatla hastanın dizinden söz konusu parçalar çıkarıldı.
Doç. Dr. Zekeriya Okan Karaduman, Doç. Dr. Mehmet Arıcan ve Dr. Öğr. Üyesi Sönmez Sağlam tarafından çıkarılan parçaların boyutlarının birkaç milimetre ile santimetre arasında değiştiği belirtildi.
